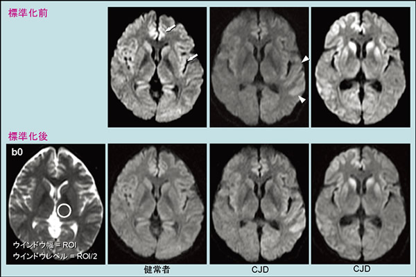
脳のMRI プリオン病のMRI画像診断の注意点
(2787件)
Pontaパス特典
サンキュー配送
6000円(税込)
60ポイント(1%)
Pontaパス会員ならさらに+1%ポイント還元!
送料
(
)
2784
配送情報
お届け予定日:2026.06.10 19:43までにお届け
※一部地域・離島につきましては、表示のお届け予定日期間内にお届けできない場合があります。
ロットナンバー
3050788193
お買い物の前にチェック!
Pontaパス会員なら
ポイント+1%
ポイント+1%
商品説明


使用感あり、汚れもありますが使用可能です。
| カテゴリー: | 本・雑誌・漫画>>>本>>>健康・医学 |
|---|---|
| 商品の状態: | やや傷や汚れあり","目につく傷や汚れがある |
| 配送料の負担: | 送料込み(出品者負担) |
| 配送の方法: | 佐川急便/日本郵便 |
| 発送元の地域: | 東京都 |
| 発送までの日数: | 2~3日で発送 |
レビュー
商品の評価:




5.0点(2787件)
- ヒロムリン
- もうすぐ1歳になる娘がいて、寝る前30分くらいは絵本の時間になっています。話の内容はまだわからない月齢なのか、仕掛けがある絵本が大好きです。今まで持っていたのは、めくるタイプだったので、縦横に引っ張るのは初めての為、最初はこの本のパカパカの仕組みが分からず真ん中を開けようとするけど開かないから、もういい!みたいにあんまり選んでくれませんでした。でも、引っ張る仕組みが分かると、中から動物が出てくるのが面白いようで、笑いながら何度も何度も引っ張っています。作りがしっかりしているし、引っ張った時の動作もスムーズで本当よく出来た本です。
- y5525
- 男性女性いりまじって、プロの方が朗読してくれるので非常にうまいです。 有名な話はもちろん、聞いたことのない話も含み、かなりの量です。 夜寝る時にかけると静かに聞き入って寝落ちしています。 昼間は絵本を読んであげてますが、毎晩読み聞かせは大変なのでとても助かります。 3才くらいから小学生以上まで、長く使えそうです。
- ゆめこ68
- もうすぐ1歳になる娘がいて、寝る前30分くらいは絵本の時間になっています。好きな本を選んでは読んで選んでは読んでをしているのですが、だるまさんシリーズ、は頻繁に選んでます。だるまさんが、の部分で本をだるまさんと同じように左右に傾けたり、お膝に乗せた子供をゆさゆさしたりすると喜んでます。が、の、と、の各オチ?の部分では、ははは、とたまに笑っているので話も分かり始めているようです。3つの中では、だるまさんの、が一番反応は薄いかもしれません笑 でも、評判の通り子供のウケは良いです、買ってよかった(^ ^)
- Yasu1958
- 娘の出産祝いに頂いたのをきっかけに、出産祝いのときに必ずセットでプレゼントしています。これでもう3度目。 0才から成長に合わせた遊び方ができるので、長く役立って喜ばれます。
- *teratera*
- 友人の出産祝いに贈りました。 喜んでもらえたようです。
- MONKEY_BAH
- 我が家の子供達のお気に入りの本です。読んで〜とよく言われます。子供だけでも読んでいます。
- jtsuka
- 怪物うひあはが好きです(笑)まあまあのお値段ですけど、好きなので‥
すべて見る
お店の情報
7,367
連絡・応対
4.3
配送スピード
4.3
梱包
4.3










