歯科矯正治療の基礎 10月8日開催!LIVEセミナー】Dr.クリス チャンセミナー:見どころのご
(2780件)
Pontaパス特典
サンキュー配送
6900円(税込)
69ポイント(1%)
Pontaパス会員ならさらに+1%ポイント還元!
送料
(
)
2762
配送情報
お届け予定日:2026.04.17 7:31までにお届け
※一部地域・離島につきましては、表示のお届け予定日期間内にお届けできない場合があります。
ロットナンバー
3050793272
お買い物の前にチェック!
Pontaパス会員なら
ポイント+1%
ポイント+1%
商品説明


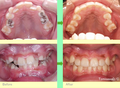
歯科矯正治療の基礎混合歯列期を中心にカバーに汚れが有りますが、中は確認したところ書き込み等無く綺麗な状態です。 あくまでも中古(古本)の為新品同等品をお求めの方は御遠慮下さい 医学書 歯学書
| カテゴリー: | 本・雑誌・漫画>>>本>>>健康・医学 |
|---|---|
| 商品の状態: | 傷や汚れあり","多くの人が見てわかるような傷や汚れがある |
| 配送料の負担: | 送料込み(出品者負担) |
| 配送の方法: | 佐川急便/日本郵便 |
| 発送元の地域: | 兵庫県 |
| 発送までの日数: | 4~7日で発送 |
レビュー
商品の評価:




4.3点(2780件)
- asasa8737
- やんちゃで好き嫌いの多い妹に、兄が怒ることも喧嘩することもなく、いくつもの食べ物を食べさせてしまう話。 たとえば「にんじんは絶対食べないからね」という妹に、兄は「これは人参に見えるかもしれないけど、人参じゃないよ。これは木星から届いた○○だよ」と言う。 頭の固い大人が思いつかないような考えに、子どもと一緒に笑ってしまった。大人も子どもも楽しめる一冊。原書も読みたくなってしまった。 追記:しかけ絵本も原書も読みました。こちらの絵本の翻訳はダイナミックでも生き生きしていて素晴らしい!読むならこちらの訳がお勧めです。
- チーム山田
- シゲタサヤカさんシリーズ本当に最高です‼キャラに愛着がめちゃくちゃわきます(笑)
- ぱんタロン
- 10ヶ月の息子のお気に入りです。 読み聞かせするとニコニコ笑います。 この本の他のシリーズ(「くつくつあるけ」「お月さまこんばんは」)にはあまり反応がなかったのにこれだけ気に入ったみたいです。
- y_85
- 角がボロボロで中古品?だか、何だかが届きました。
- げっちゅう
- すごろくにはまっている、小2の男の子に買いました。レビューをみて、コマ(動物型の消しゴム)やサイコロなどを百円ショップであらかじめ購入して、渡す予定です。色んなのが載っているので、楽しめると思います。
- kodue1973
- 狼が悪になる本は度々見かけますが 可愛い狼が登場する本に出会うことが少ないので惹かれて購入しました。
- TTT4386
- 歯磨き嫌いの三歳の息子に購入。 対応年齢にはまだはやかったのですが、息子にはドンピシャ。 もちろん読み聞かせになりますが、 内容を覚えてしまったので、意外に一人でも読んでます。 相変わらず歯磨きは嫌がりますが、 「むしばいっかがひっこしにくるぞぉぉぉ」というと、 前よりかは歯磨きに対していい反応をしてくれるようになりました。 効果はありです。
- kamoyuka
- 6歳の息子が幼稚園で借りてきて気に入って読んでいたので購入しました。 2歳の娘も一緒に読んでいます。おばけ=かわいい。 絵の中でいろいろ目にとまるポイントがちりばめられていて、大人も見ていてたのしいです。
- Antoniya
- アニメ銀の匙がきっかけで目に留まったこちらの絵本。 実際に『食肉解体作業員』として働いている方が著者です。 職業の事、命を頂く食の事、、、こういう絵本もあるんですね。 「こんな絵本があるよ」と言ったら、家族が読んでみたいと興味を持ちました。 また、こういった絵本から小さい子供達もいろんなことを学んでいくのだなと思うとプレゼントにもしてみようかなと思いました。
- にゃんちびみるしょこぷりん
- 図書館で何度も借りているので買いました。とても可愛らしい文章で、子どももすぐ自分で読めるようになりました。
- チャボ6702
- 夢いっぱいの、素敵なお話です。 子供が何回も図書館で借りてくるので、 思い切って購入しました。 これを読むと、絶対カレ−が食べたくなります。
- スマイル俊彦
- 悩んで悩んで...下の子にも使えるしいいか!と箱入りのセットを頼みましたが箱の角が、角から落としたようにグシャッとへこんでいて、別に特に安いわけでもないし、普通に本屋さんで実物を見て買えばよかったなぁと後悔。 配送が早かったのはありがたかったです。 プレゼントなのに残念。
- たつみ2961
- ねずみくんシリーズではじめて購入したのがねずみくんのチョッキでした、文章は単調で読み手によって左右される本だなとは思いましたが3歳の子供は気に入っていて毎回何かしら気付いて話をします。小さいサイズで安いのもシリーズ集めやすいなと思いました。
- ミキティ4365
- 本の状態がとてもいいです。また是非利用したいです。
- reo_1861
- 2歳頃からお気に入りの絵本です。3歳になってからは内容を暗記していました。
すべて見る
お店の情報
7,367
連絡・応対
4.3
配送スピード
4.3
梱包
4.3










